Hoe kiest u een beugel?
Het uitlijnen van tanden vereist externe kracht. Deze kracht wordt via de beugel op de tanden uitgeoefend, die deze vervolgens overbrengt naar het omliggende alveolaire bot. Dit veroorzaakt botremodellering en uiteindelijk het verplaatsen van de tanden naar de gewenste positie. Voor patiënten die een orthodontische behandeling overwegen, kan het kiezen van het juiste type beugel verwarrend zijn. "Beugel" is een veelgebruikte naam voor apparaten die op de tanden worden geplakt of gedragen. Vandaag bespreken we de verschillende soorten orthodontische beugels en hoe u er een kiest.
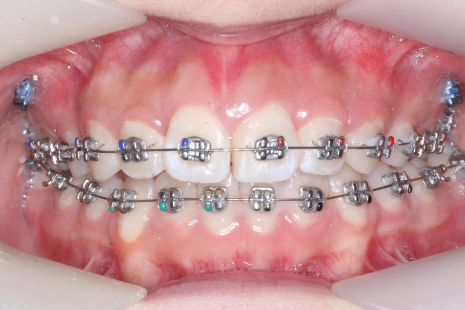
1. Standaard metalen beugels
Beugels worden over het algemeen aan de tanden vastgelijmd en kunnen niet worden verwijderd of geplaatst. Ze zijn betaalbaar en kosteneffectief.
Ze kunnen orthodontische problemen oplossen, maar ze zijn minder esthetisch, kunnen uitvallen als je niet oplet tijdens het eten en bereiken mogelijk niet het gewenste effect. Ze lopen ook het risico dat het draadje in je mond prikt. Door hun structuur kunnen er gemakkelijk voedselresten in achterblijven. Een goede mondhygiëne en regelmatig tandenpoetsen zijn essentieel.
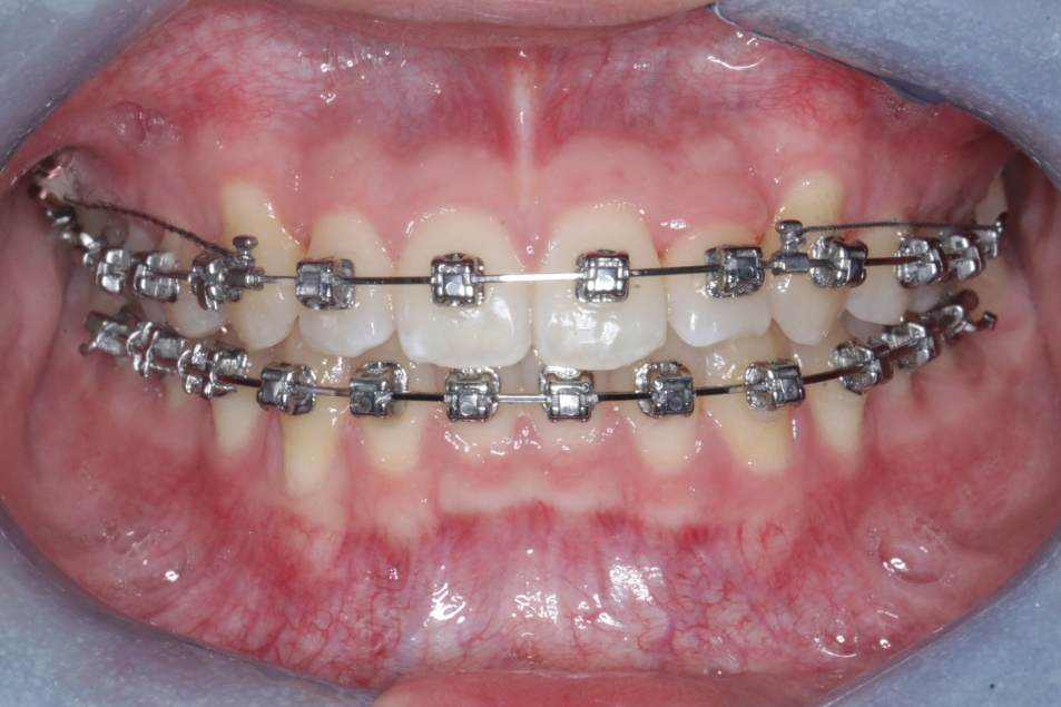
2. Zelfligerende metalen brackets
Deze brackets kunnen niet verwijderd of opnieuw bevestigd worden. Ze zijn compact en bieden meer comfort, betere reinigbaarheid en betere prestaties dan standaard niet-zelfligerende brackets, wat resulteert in een efficiëntere uitlijning van de tanden.
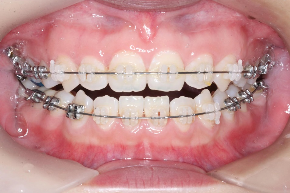
3. Keramische brackets
Ze worden ook aan de tanden vastgehecht en kunnen niet worden verwijderd. Hun grootste voordeel ligt in hun esthetiek. Ze kunnen breken tijdens klinisch gebruik (hoewel veel fabrikanten hun prestaties continu verbeteren). Om hun sterkte te behouden, zijn ze over het algemeen groter, wat resulteert in iets minder comfort en prestaties dan vergelijkbare metalen brackets.
4. Linguale haakjes
Ze kunnen niet worden verwijderd of opnieuw worden bevestigd. Ze bieden een hoge mate van verhulling en esthetiek, en worden meestal op maat gemaakt om aan de individuele behoeften van de patiënt te voldoen. Ze zijn echter relatief duur. Het bevestigen van de brackets aan de linguale zijde van de tanden biedt verhulling ten koste van comfort (hoewel dit acceptabel is zodra de patiënt eraan gewend is).
5. Onzichtbare beugels
Ze kunnen worden verwijderd of opnieuw worden bevestigd en bieden esthetiek, comfort en gemak bij mondhygiëne en onderhoud. De kosten zijn relatief hoog en patiënten moeten zeer coöperatief zijn en ze dagelijks gedurende een bepaalde periode dragen, zoals voorgeschreven. Als de therapietrouw en medewerking van de patiënt hoog is, kan het follow-up-interval voor onzichtbare beugels dienovereenkomstig worden verlengd (bijvoorbeeld elke 2-3 maanden, of zelfs elke 3-6 maanden).
Daarom zijn onzichtbare beugels ideaal voor orthodontisten die prioriteit geven aan esthetiek, een hoog risico lopen op cariës, een sterke zelfdiscipline hebben en langere vervolgcontroles nodig hebben (bijvoorbeeld mensen die niet thuis studeren of werken).
Nadat u inzicht heeft gekregen in de verschillende soorten beugels die hierboven zijn genoemd, kunt u met uw arts overleggen en de beugel kiezen die het beste bij uw individuele behoeften past om het ideale orthodontische resultaat te bereiken.




